NIH发布包含 10600 张 CT 图像数据库,为 AI 算法测试铺路
2018-08-04 20:05:21AI云资讯1624
这个大型成像数据库被称为DeepLesion,是由美国国立卫生研究院的Ronald Summers及其同事创建的。他们对其机构里的放射科医生的CT扫描结果进行了临床相关的标注。
Summers是NIH影像生物标记和计算机辅助诊断实验室的高级研究员和放射学家。
根据美国国立卫生研究院的说法,这些标注通常很复杂,包括描述病变大小和位置的箭头、线条、分割和文本,以便让临床医生可以监测疾病变化。标注医学图像需要广泛的临床经验,并且会耗费大量时间。
实际上,缺乏可用于训练AI算法的大型医学图像数据库一直被认为是AI技术寻求突破的主要障碍之一。Summers及其同事的努力就是为了改变这种状况,至少在X光方面 。去年他们发布了ChestX-ray8数据库,库中包含了100000张X光图像。
DeepLesion通过提供足够强大的CT扫描数据库和附带的标注来训练深度神经网络,从而帮助绕过这些障碍。美国国立卫生研究院建议,有朝一日可以“使科学界能够创建一个具有统一框架的大规模通用病变检测器”。

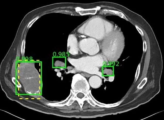
该数据库包括来自马里兰州贝塞斯达NIH临床中心的4400多名患者的大约10600项研究。虽然目前大多数数据库包含10至数百个单一类型的病变,但该组设计的DeepLesion可容纳超过32000个病灶,涵盖各种放射学发现,如肺结节、淋巴结肿大和肝肿瘤。
有了多范畴的病变数据库,DeepLesion为研究人员提供了开发人工智能算法的机会,能够自动检测和诊断多种病变类型。美国国立卫生研究院指出,未来它还可能发展成为一个通用病变检测器,可用作初始筛选工具,并将其结果发送到其他更专业的算法。此外,研究人员可能可以在同一次CT扫描中研究不同类型病变之间的关系,从而全面评估癌症负担。
为了开始展示这种潜力,Summers及其同事用DeepLesion数据库来训练一个典型的通用病变检测器,以发现各种病变。他们的探测器灵敏度达到81.1%,每个图像有5个假阳性。
研究人员计划继续向DeepLesion添加图像,以提高检测器的准确性,他们希望将MRI扫描包含在数据库中,并结合未来多家医院的数据。该研究小组认为,除了病变检测外,该数据库还可以帮助训练算法对病变进行分类,并根据现有模式预测病变的发展。
相关文章
人工智能企业
更多>>人工智能硬件
更多>>人工智能产业
更多>>人工智能技术
更多>>- 高德发布鸿蒙首个生成式 UI 开源框架 AGenUI,告别传统 UI 开发模式
- 发布即适配| 天数智芯全力支持腾讯混元Hy3 preview 开源落地,共推国内大模型产业普惠
- Seedance 2.0面向企业公测,豆包大模型日均Token使用量突破120万亿
- 端到端OCR模型第一!百度千帆Qianfan-OCR正式发布
- 云知声Unisound U1-OCR大模型发布!首个工业级文档智能基础大模型,开启OCR 3.0时代
- 基石智算上线 MiniMax M2.5,超强编程与智能体工具调用能力
- 昇腾原生支持,科学多模态大模型Intern-S1-Pro正式发布并开源
- 百度千帆深度研究Agent登顶权威评测榜单DeepResearch Bench









