对话深思考CEO杨志明:从AI技术走到用户需求
2018-09-06 16:01:04AI云资讯919

“在AI创业中,技术必须从用户场景出发,围绕用户需求来研发,而不是盲目围绕技术闭门造车。”
在接受网易智能采访的过程中,杨志明这样表达他对于技术创业的心得。
在这之前,这家叫做深思考人工智能(以下简称"深思考")的公司以及CEO杨志明似乎颇为低调。
实际上,深思考这家公司已经成立了整整三年,目前有近70余人,其突出的技术是“多模态深度语义理解技术”,可同时理解文本、视觉图像背后的深度语义,目前面向场景为智慧医疗大健康和汽车智慧商业。
这已经是杨志明在AI领域的第四次连续创业,他长于AI算法,在人工智能领域有十余年学研经验,是中国科学院软件所人工智能方向博士、中科院大学MBA,主持过多项国家级重大核心系统研发,拥有百余项知识产权。
专攻多模态深度语义理解,推出深思考大脑(iDeepWise.ai)4.0
“AI技术的发展会经历感知、识别、理解、决策四个阶段。前两个阶段我们已经发展比较好了,目前我们正在解决理解的问题,”杨志明说,“比如让机器识别‘暴力图片’,不能简单识别出一把刀就是暴力,如果一个水果旁边放着一把刀呢?那就可能不是暴力图片。”
8月初,深思考推出了“多模态深度语义理解”深思考大脑(iDeepWise.ai)4.0,凭借此项技术,深思考近日在中文语义理解与人机交互领域最高水平的SMP2018-ECDT赛事中获得冠军,蝉联2017、2018两届冠军。
杨志明表示,深思考大脑(iDeepWise.ai)4.0在多轮人机交互语义理解方面有突出优势,使得机器人能够与人多轮人机交互,能够理解上下文,最厉害的是在人机交互的过程中实现会话意图的自由切换与准确识别,其语义理解是多模态的,能够同时理解文本、语音和视觉图像背后的深度语义。
但是,我们如何评价机器理解的效果?杨志明称目前学界还没有统一的技术评价标准,但是在具体领域,我们主要看最终的产品效果就可以。比如在医疗筛查领域,可以看最终的准确率怎么样。
布局医疗AI筛查领域,60秒可分类7万个细胞
目前,深思考一方面是在AI核心前沿技术领域继续突破,另一方面利用AI技术结合业务场景来落地。
创业三年,杨志明认为最关键的就是找到刚需场景,用AI技术赋能这些场景,产生更好服务,最大的挑战是如何用技术来解决这些场景下的产品化问题。
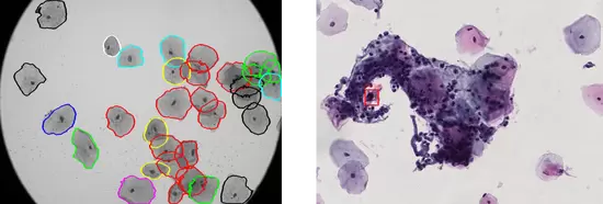
深思考目前更多地将多模态深度语义理解技术应用在医学健康领域。杨志明说,深思考大脑4.0可以理解医学文章,做健康咨询和健康筛查,比如宫颈癌细胞筛查等。深思考已经面向医疗机构推出了全自动人工智能宫颈癌细胞辅助阅片系统,这套系统可以在60秒内分类7万个细胞,快速进行AI宫颈癌筛查。

图:阅片系统正在进行宫颈癌细胞的检测与分割
目前,深思考的宫颈癌细胞筛查方案除了与国内一些三甲医院合作外,但更多的是进驻第三方检测机构,杨志明称面向后者的市场占有率已达到了60-70%。
谈到深思考在医疗大健康领域的未来布局,杨志明称,我们先从单点突破,然后再进行纵向和横向的拓展,持续建立起病理细胞学平台,进而用迁移学习方法逐渐从宫颈癌细胞筛查拓展到其他病理细胞筛查上。
“不同于其他AI医疗公司的是:我们已经积累了大量的关于细胞分类的基础技术,在病理细胞学上颇有研究,比较容易进行其他病种迁移。”杨志明说到。
关于盈利模式,杨志明表示,未来基于病理细胞学的筛查平台有两种盈利模式,一种是“云模式”,算法都在云端,可以任意接入不同的医疗机构的终端设备,不断积累数据并优化模型,对于客户来说入门使用成本适宜,易用大规模扩展。另外一种盈利模式是“端模式”,主要针对于某些不适合接入云端的医疗场景,提供AI算法+芯片的一站式智慧医疗解决方案。
值得一提的是,深思考已经推出了专用AI芯片DPU,分别是智慧医疗专用AI芯片M-DPU,还有智慧商业专用AI芯片B-DPU。深思考的DPU是基于FPGA平台研发的,主要针对特定场景解决方案来使用,用DPU集成运算深思考大脑(IDeepWise.ai)4.0核心算法,形成完整解决方案。
汽车智慧展厅业务是现金牛,看好车内场景交互
AI落地应该从场景和用户需求出发,但在这个过程中有业务需求与AI技术的巨大鸿沟,因为AI落地与传统业务结合往往是一个跨领域的复杂问题。
因此,改变医疗行业并非一蹴而就,即使在医疗筛查行业普及AI技术也并非易事。在推进医疗筛查的业务之外,深思考又开辟了汽车智慧展厅的现金牛业务。
据悉,深思考凭借自身在人机交互、多模态语义理解和大数据领域多年的人工智能技术积累,将AI赋能线上云平台和线下体验入口,以4S展厅为切入点,针对传统4S展厅留客难、体验差、无法分析客户关注点、产品介绍不够全面规范等痛点,用AI构建了以智能视觉分析与理解平台、大数据分析平台、智能迎宾机器人、多模态深度语义理解与人机交互平台为一体的智慧展厅。
同时,深思考也通过大数据分析平台为智慧展厅提供用户画像。从年龄、性别、购车咨询时的情绪、停留时间、关注焦点、购车偏好等多个维度的大数据分析,辅助4S店长和主机厂商决策层做决策,形成一套商业领域的多模态人工智能机器人大脑解决方案,带来全新的购车、售车体验。

目前深思考已签约亿元大单,将落地数千家智慧展厅,还有多家品牌汽车主机厂商正与深思考深度接洽。
与此同时,深思考也在利用自己在AI交互上的技术优势来布局汽车内部场景,主要涉及人与车的交互方案。在杨博士看来,未来汽车上肯定会有一个人机交互的入口,这个入口有可能是车机大屏,有可能是投射3D屏幕等等,而且语音语义交互、手势交互等等多模态的人机交互会是未来人车交互的一个趋势。
但是如果想在前装普及这种新交互模式,起码还需要3年的时间。目前市面上的车内语音交互方案还有很大的问题,一是语音控制方面不能够完成最终的任务,往往只能完成一半还是需要触摸操作;二是听不懂,虽然机器能听清什么问题,但听不懂问题,无法理解问题,也没有上下文理解记忆能力,无法完成操作。杨志明博士称,如果想在车内人机交互上取得突破,还需要深挖下去,将算法和应用场景深度结合,对产品进行精细化打磨才行。
在采访中,杨志明向网易智能透露,深思考近期完成了5000万元的A轮融资,另外新一轮的融资也已即将敲定,今年总计融资额有望达到1.3亿元。相关文章
人工智能企业
更多>>人工智能硬件
更多>>人工智能产业
更多>>人工智能技术
更多>>- Twinkle x昇腾,率先实现Deepseek-V4系列模型高效训练
- 高德发布鸿蒙首个生成式 UI 开源框架 AGenUI,告别传统 UI 开发模式
- 发布即适配| 天数智芯全力支持腾讯混元Hy3 preview 开源落地,共推国内大模型产业普惠
- Seedance 2.0面向企业公测,豆包大模型日均Token使用量突破120万亿
- 端到端OCR模型第一!百度千帆Qianfan-OCR正式发布
- 云知声Unisound U1-OCR大模型发布!首个工业级文档智能基础大模型,开启OCR 3.0时代
- 基石智算上线 MiniMax M2.5,超强编程与智能体工具调用能力
- 昇腾原生支持,科学多模态大模型Intern-S1-Pro正式发布并开源









