太可怕了!别让手机成为病毒载体
2020-02-03 18:21:21AI云资讯1473

一场突如其来的疫情,让这个春节多了一些关键词——武汉、新型冠状病毒、口罩、隔离……
从去年年底发现确诊病例到今天,一个多月的时间疫情一直处于扩散阶段。那么,这场突然爆发的新型冠状病毒肺炎是如何发生和传播的?我们使用最为频繁的手机又为什么会成为病毒载体?
什么是新型冠状病毒
冠状病毒是一大类病毒,冠状病毒是一大类常见于动物的病毒。据美国疾病控制和预防中心称,在极少数情况下,它们是科学家所称的人畜共患疾病,也就是说它们可以从动物传染给人类。
这种病毒能使人生病,通常是轻微(或中度)上呼吸道疾病,类似于普通感冒。冠状病毒的症状包括流鼻涕、咳嗽、喉咙痛,可能是头痛,也可能是发烧,持续几天。对于那些免疫系统弱的人,老年人和非常年轻的人来说,病毒有可能引起一种较低、更严重的呼吸道疾病,如肺炎或支气管炎。有一些人类冠状病毒已知是致命的。中东呼吸综合征(Middle East Respiratory Syndrome,简称MERS病毒)于2012年在中东首次报道,也会引起呼吸系统问题,但这些症状要严重得多。疾控中心称,每10名感染MERS的患者中就有3至4人死亡。

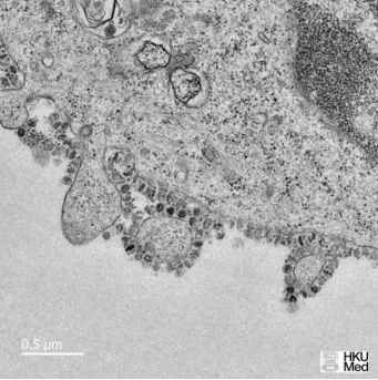
香港大学研究人员于1月31日公布首批新型冠状病毒在细胞内复制过程的图像。通过新型冠状病毒的薄片电子显微图像显示,病毒粒子从受感染细胞的表面释放出来,每个受感染的细胞会衍生出数以千计的病毒粒子,从而继续感染新细胞。
传播途径
冠状病毒可能的传播途径有三个:一是通过咳嗽或打喷嚏在空气传播;二是与病人的密切接触;三是触摸被污染的物体表面,然后用脏手触碰嘴巴、鼻子或眼睛。
手机有可能成为病毒载体
既然病毒可以通过手触碰嘴巴、鼻子或眼睛来传播,我们每天平均触碰最为频繁的手机成为病毒载体就不足为奇了。
根据资料显示,早在2018年就有英国的研究机构进行过测试,分别对三款流行的手机(iPhone,Google Pixel和Samsung Galaxy),马桶座圈和抽水马桶,还有办公室的键盘和鼠标对比测试酵母、霉菌和细菌的数量,结果令人担忧。
马桶座圈和抽水马桶中的细菌含量均低于三星Galaxy和iPhone,而且所有智能手机的细菌含量均比办公室键盘和鼠标高得多。
测试还发现,智能手机屏幕上的细菌、酵母菌和霉菌含量最高,每平方厘米存在254.9单位的感染。

(△图源 - insurance2go)
而美国亚利桑那大学一项研究同样发现发现,手机中携带的细菌比大多数马桶座圈多10倍。并发现了潜在致病性微生物(金黄色葡萄球菌,不动杆菌属,假单胞菌属,蜡状芽孢杆菌和黄萎病杆菌)

所以,防范新型冠状病毒肺炎在注意洗手的同时,也应该注意手机的卫生和消毒。
据中国疾控中心消毒学首席专家张流波31日说:手怎么消毒,手机就怎么消毒。勤洗手的同时,手机也要常用酒精、消毒纸巾擦拭。此外衣物从外面回家要换下,并做清洗消毒处理,比如以56摄氏度以上的水浸泡清洗半个小时。
因为手机是我们经常用到的东西,我们在外手机的过程中或有病毒依附在表面,而我们触摸手机的时候,会将病毒转移到我们的手上,所以回到家中一定要将手机进行消毒,进而减少被病毒感染的风险。
相关文章
- 三星Galaxy手机:用AI让用户步入智能、便捷、高效的新时代
- 东方顶级美学定义高奢新坐标:AURORA手机全球前100台,宣告售罄!
- 内存过去在智能手机物料清单中所占比例约为10%至15%,如今已飙升至30%至40%
- 让生活更轻松 新一代AI手机将于Galaxy全球新品发布会震撼登场
- 传音智能变色新材料技术解析:重构手机外观与可持续设计逻辑
- 联发科2025年第四季度智能手机芯片收入占比达59%,将通过多元化布局谋篇未来
- SpaceX或将推出专属星链手机 抢占卫星连接设备市场
- 手机也能用OpenClaw了!百度智能云发布移动端接入方案
- 告别繁琐!上海申克线上服务中心焕新上线,手机动动即可解锁高效体验~
- 苹果计划研发采用翻盖设计的iPhone Flip,拓展折叠屏手机产品线
- 影视飓风Tim雪地生存100小时挑战 TVU手机直播全程4K呈现
- 三星计划大规模生产Galaxy Wide Fold宽折叠屏手机,预计2026年7月推出
- 2026首款eSIM手机荣耀Magic8 Pro Air上市
- 把医院“搬”进手机!谷医堂集团让糖友足不出户享一站式血糖调理
- 台积电或将取消苹果优先发货的待遇,因手机芯片已非首要营收来源
- 有AI更Pro,联想moto X70 Air Pro AI手机正式发布,轻薄影像AI旗舰
人工智能企业
更多>>人工智能硬件
更多>>人工智能产业
更多>>人工智能技术
更多>>- 云知声Unisound U1-OCR大模型发布!首个工业级文档智能基础大模型,开启OCR 3.0时代
- 基石智算上线 MiniMax M2.5,超强编程与智能体工具调用能力
- 昇腾原生支持,科学多模态大模型Intern-S1-Pro正式发布并开源
- 百度千帆深度研究Agent登顶权威评测榜单DeepResearch Bench
- 在MoltBot/ClawdBot,火山方舟模型服务助力开发者畅享模型自由
- 教程 | OpenCode调用基石智算大模型,AI 编程效率翻倍
- 全国首个!上海上线规划资源AI大模型,商汤大装置让城市治理“更聪明”
- 昇思人工智能框架峰会 | 昇思MindSpore MoE模型性能优化方案,提升训练性能15%+









