AI抗“疫”保卫战,商汤科技数炮齐发
2020-02-07 13:43:27AI云资讯852
十数个日夜里,疫情时刻牵动着每个人的心,也牵动着每一个商汤人的心。自新型冠状病毒肺炎爆发以来,商汤科技就积极发挥自身优势,为科研机构的药物及病毒相关研究提供高性能计算资源,最短时间内推出“AI智慧防疫解决方案”助力新冠肺炎节后防控战,用AI影像帮助快速筛查疑似新冠病例……商汤充分释放科创动能,致力于用人工智能助力新冠肺炎的防控与治疗。
商汤超算除夕驰援
1月24号晚,除夕,新冠肺炎来势汹汹。为防控疫情,病毒突变预测和抗新型冠状病毒药物研究迫在眉睫。
疫情就是战情,国家重点研发计划首席科学家、中山大学药学院罗海彬教授及团队紧急应战,承担新型冠状病毒相关应急研究项目,急需大量计算资源。
商汤科技在接到由深圳超算转达的紧急需求后,第一时间协调超算团队支持,并对计算资源进行适配改造,与深圳超算一起,为罗教授团队免费提供高性能计算资源(商汤提供包括20个GPU服务器节点),全力支持研究人员对抵抗新型冠状病毒的药物进行大规模筛选,同时开展病毒突变预测等工作。

商汤人工智能计算平台
AI助力新冠肺炎防控
春节假期结束后,各地将很快进入复工返程高峰,这给新冠肺炎的防控工作又将带来巨大挑战。
为此,商汤科技利用领先的人脸识别算法和热成像智能测温技术,在最短时间内迅速推出了“AI智慧防疫解决方案”,主要包含区域通行模块和出入口通行模块,可实现对人员体温、口罩佩戴以及人员身份等多个方面的识别和管理,并能将实时信息统一展现及存档,助力打赢这场防控战。
商汤AI智慧防疫解决方案的区域通行模块,由星云系列智能边缘节点SenseNebula-M、热成像摄像机、黑体和智能管理系统组成,可在机场、车站、地铁、学校、办公楼宇、小区等多种场景下实现非接触式筛查,实现高温、未戴口罩异常事件告警和人员识别,提高公共场所高温人群检测速度,减少疫情传播的可能性,也提高了人员通行效率。同时,可将往来人员实时信息进行存储和展示,使管理人员及时了解区域状况,让城市更便利、更安全。
部署此模块后,系统通过热成像摄像机对行人的额头温度进行测量,可快速在人群中自动检测到体温超过37.3°C的人员,并产生声光/弹窗提醒,工作人员可进一步使用医用体温计做二次测量后在智能管理系统中做复核确认。

应用此模块,人体测温精度可达到±0.3℃,满足疫情防控初步筛选疑似患者标准,能够极大提高行人体温筛查效率,可用于进行疫情疑似筛查,并保障正常的通行速度。其非接触式的测温方式,还可降低交叉感染的风险。
同时,该系统还支持未戴口罩人员识别提醒等,并可在佩戴口罩的情况下高精度识别出人员身份。通过上述方式,为管理人员提供往来人员体温、口罩佩戴情况以及人员身份等全方位的防疫信息辅助。
商汤AI智慧防疫解决方案的出入口通行模块,将人脸识别、无感测温与无感通行结合,可快速识别人员信息并做测温登记,同时提供后台记录,一旦发现异常,可智能分析,便于管理。
该模块包括有商汤SensePass Pro人脸识别测温一体机、SensePass Pro人脸识别高精度测温闸机、SenseID 030人证核验测温一体机,可根据场景等级不同,提供不同的测温测量形式,应用于楼宇、学校、酒店、园区出入口等。

商汤SenseID 030人证核验测温一体机
可应用于酒店等场景,快速实现人证核验及测温
部署此模块后,测温精度同样可达±0.3℃,并且无需黑体,便于快速安装部署。
当下在封闭的公共场所,佩戴口罩已经成为必须,这对写字楼、办公室等区域人脸识别门禁及考勤系统提出了新挑战。应用商汤AI智慧防疫解决方案的出入口通行模块,无需摘下口罩即可准确识别员工身份,记录出勤,在人员戴口罩的情况下,露出50%鼻梁时通过率可达85%。同时,还可设置对口罩进行识别,规范员工必须佩戴口罩进入办公区。

有口罩也能轻松打卡
商汤AI智慧防疫解决方案,上述两个模块可独立部署,也可组合搭配,实现多层次防疫,以应对多种防疫场景。方案不但部署灵活方便,防疫方式多样,且防疫信息识别精度高,为节后防疫战助力。
为助力保障节后人们的日常生活,商汤还特别针对商场、超市、便利店等场景,推出“智慧商业-实时体温分析解决方案”,通过热成像摄像机和AI算法,实现实时非接触快速测温,并对异常体温进行报警,辅助商场工作人员统计数据、管理客流;该方案也可对顾客是否戴口罩进行实时检测和提醒,并提供标准数据接口,可与国家疫情防控部门共享数据,尽可能保障人们在日常买菜、购物过程中的防控安全。
AI为一线白衣战士提供智能辅助
新冠肺炎疫情上,疑似患者的快速、精准临床诊断仍是挑战。
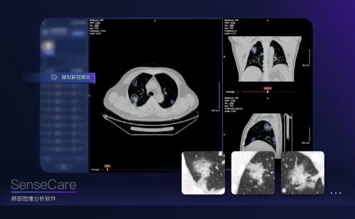
国家卫健委下发的《新型冠状病毒感染的肺炎诊疗方案解读》中提出,将影像学作为临床诊断的重要依据。商汤科技基于已有的SenseCare智慧诊疗平台,针对新冠肺炎进行了快速的升级,积极驰援多地医院及合作医疗机构。

通过AI对疑似患者肺部CT影像进行病灶的自动检出、定位、弥漫性程度的多维分析并生成自动报告,帮助医护人员快速筛查疑似新冠病例并进行隔离与进一步确诊,从而减少交叉感染的风险,同时产品的随访功能还可帮助医生对患者的治疗效果进行精准量化评估,用AI为一线医务工作者提供有迹可循、有据可依的智能辅助。
此外,商汤也在积极借助AI技术助力新冠肺炎治疗方案的研究。
目前,针对“新型冠状病毒”还没有特定的治疗方法。近期小分子药物(如瑞德西韦)在相关科研中显示出了潜在的疗效,受到广泛关注。
为了更好地应对未来变异病毒,弥补小分子药物容易产生耐药性等问题,商汤智慧健康团队基于在AI药理、AI基因分析方面的长期研究积累,已经与至本医疗等多家专业医疗机构、科研高校强强联合,针对“新冠”生物大分子治疗方案进行相关研究,希望在接下来的抗“疫”之战中,提供更多治疗方法和治疗手段,解决病毒对单一药物的耐药性问题、提升对病毒变异的抵抗能力,达到抗击病毒、防止感染人群进一步扩散目的。
AI教育停课不停学
病疫在前,很多学校采取了延期开学计划和安排,但是课能停,孩子教育不能停。
商汤科技极响应教育部“停课不停教、不停学”号召,制定了AI基础教育“停课不停学”解决方案,依托各省市教育资源云平台以线上视频点播或直播方式,面向有需求的学生和教师免费提供AI科普和教学视频,免费开放商汤SenseStudy AI实验平台课程,提供AI编程教学实验服务,支持学校开展自主网络教学服务。
为激发学生对学习AI知识的兴趣,商汤科技教育团队第一批甄选12个课时的AI知识单元进行线上讲解教学,以实际生活中接触到的AI为切入点,深入浅出、寓教于乐地讲解AI的相关知识,包括“什么是AI”,“AI的前世今生”,“从机器中学习”,“什么是机器人”等具有科普性、趣味性的课程内容。
除此之外,商汤还面向学生和老师开放SenseStudy AI实验平台资源,让学生不仅紧密贴合AI的理论知识教学,还能在实践中体验AI编程的乐趣。

商汤科技将继续和各省市教育主管部门合作,构建教师教学、课后作业和学生自主学习的服务体系,为广大学生在疫情期间的AI学习保驾护航。
一线的AI教师团队同样能实现“停课不停学”,有需求的教师团队可以通过视频点播的方式进行线上学习,系统性地了解AI技术发展、应用现状以及算法、模型等相关知识。
同时,商汤科技还提供AI教师培训直播服务,供老师们在线直播学习各类课程、互动答疑、分组课程设计与分享,并且在线上完成考试测评与结业分享,以满足疫情期间AI教师培训和教务工作的多种需求。
此外,商汤科技的AI+AR在线课堂助手,也可以帮助学校和教学机构实现远程辅助教学,通过背景分割、手势互动、人物美颜、AR特效、AR教具、虚拟Avatar等技术和功能,解决老师在家远程教学时遇到的背景环境杂乱不正式、教具不齐全等问题,从而提升课堂吸引力,让学生更专注。

例如,背景分割技术可以将老师的家庭生活背景检测出来,替换成学校或教育机构背景,增加课堂的严肃性;人物美颜功能可以解决在家庭条件下,灯光环境没有直播间专业等问题,将老师的形象效果进行提升。
不仅如此,老师还可通过AI互动课件制作工具进行教学课件的快速制作,并在教学过程中对学生的签到打卡、举手互动、语音问答等课堂互动进行管理和安排。
AI见证全民战疫“雷火速度”
今天,武汉雷神山医院也正式具备交付条件,与火神山医院一同在狙击疫情最艰苦的战场上构筑起新冠肺炎患者的生命之冀。
基于高时空分辨率卫星遥感数据,商汤智能遥感解译技术对火神山医院的建设过程,进行了包括其区域内用地分类、建筑工程的综合追踪,见证“雷火速度”,也见证了广大建设者的心血与汗水。

病毒无情人有情,众志成城,共克时艰
商汤再次向全国战斗在抗病一线的各界工作人员,特别是医护工作者,以及广大不屈不挠、坚持与病毒作斗争的人们致敬。
虽然在对抗疫情中,AI的力量和作用还有限,但商汤会继续致力于推动AI技术的发展,希望未来对社会作出更大的贡献,引领人类进步。
AI向善,笃行致远。
相关文章
- 阳台储能开创者疆海科技完成数亿元 B 轮融资,押注 AI 时代的家庭能源中心
- 开源!鲸智百应升级,浩鲸科技重新定义企业AI原生
- 万兆AI惠商 联通美好未来 ——中国联通东莞市分公司5・17 电信日暨联通客户日活动圆满举行
- 中国联通在北京地区携手华为发布3000M宽带新产品,全光臻宽带矩阵为“双万兆AI提质行动”添砖加瓦
- 超显商城整合核心GLED显示技术,开启显示设备AI定制新模式
- 博大数据荣膺“全球AI生态基石大奖”,夯实融合算力基础设施服务商领先地位
- 全国人工智能发展大会 AI HANGZHOU 2026中国(杭州)国际人工智能展览会
- 酷开发布企业AI操作系统 开启硅基管理新时代
- 酷开AIOS:定义“企业AI操作系统”的野心与挑战
- 华为超千兆新品亮相山西!三频Wi-Fi 7+AI 焕新智慧家庭新生活
- 辽宁与华为联合发布超千兆三频Wi-Fi 7+AI 新品,共筑辽沈智慧家庭新生活
- 亿达科创亮相国际人工智能展再获AI大奖
- 花旗银行报告称,台积电在AI领域的主导地位不会受到英特尔威胁
- 华为云创想者大会主题论坛议程公布:释放Agentic AI新布局
- 与AI同行 3000M助力 共创智家新生活——中国联通品牌与产品辽宁宣传推广会 全面启动联通社区惠民行系列行动
- 以创新设计重塑 AI 路由未来,MOVA LINCO X1 Pro 荣膺红点奖
人工智能企业
更多>>人工智能硬件
更多>>人工智能产业
更多>>人工智能技术
更多>>- Twinkle x昇腾,率先实现Deepseek-V4系列模型高效训练
- 高德发布鸿蒙首个生成式 UI 开源框架 AGenUI,告别传统 UI 开发模式
- 发布即适配| 天数智芯全力支持腾讯混元Hy3 preview 开源落地,共推国内大模型产业普惠
- Seedance 2.0面向企业公测,豆包大模型日均Token使用量突破120万亿
- 端到端OCR模型第一!百度千帆Qianfan-OCR正式发布
- 云知声Unisound U1-OCR大模型发布!首个工业级文档智能基础大模型,开启OCR 3.0时代
- 基石智算上线 MiniMax M2.5,超强编程与智能体工具调用能力
- 昇腾原生支持,科学多模态大模型Intern-S1-Pro正式发布并开源









