联影智能联席CEO沈定刚教授:获NMPA首张CT骨折AI三类证后,“下沉”与“拓展”将成未来关键
2020-11-16 10:41:10AI云资讯1003

2018年,美国FDA宣布批准Imagen公司开发的软件OsteoDetect上市,这款软件利用人工智能算法来检测成人患者的桡骨远端骨折情况,但值得注意的是,OsteoDetect是对二维X光图像进行分析,而联影智能的这款AI软件则是基于CT图像进行病灶检测。
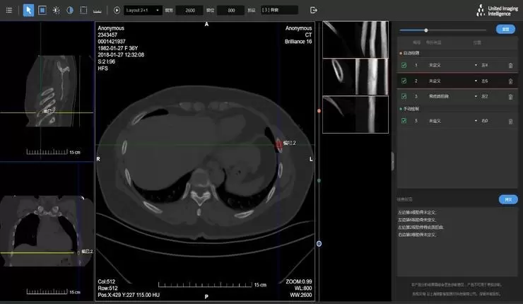
据联影智能的产品简介显示,此次获批的CT骨折智能分析系统具备“精准肋骨定位,秒级骨折检出,直观提示病灶”等一系列特点,以高敏感性辅助医生快速、高效、精准地完成肋骨的诊断,避免错诊和漏诊。其主要功能点为:
基于深度学习方法,自动完成肋骨定位、计数与标注,帮助医生“数肋骨”;
秒级完成全部检测流程,精准肋骨定位并提示肋骨骨折位置;
准确区分真实骨折与运动伪影、肋软骨、肋骨病变等假阳性情况;
支持半边重建、扫描视野不全、肋骨粘连、肋骨断裂/部分缺失等异常影像检测。

uAI 肋骨骨折智能分析系统
此外,系统可对工作流进行优化——提供三维重建(MPR、VR、MIP、MinIP)、动态展示、独立分部位展示、最佳视角、高危提醒等功能,协助医生快速准确定位和复核病灶,支持病灶标记图像一键回传PACS,自动生成不同模板的结构化报告。
据雷锋网了解,CT骨折的AI检测软件是联影智能胸部多病种AI产品中的一大功能模块。目前,胸部多病种AI产品已经获得了欧盟的CE认证。
联影智能联席CEO沈定刚教授表示,CT骨折产品的市场应用前景很广,包括急诊和体检或门诊场景。
在急诊场景下,产品可以帮助医生迅速地定位骨折,减少漏诊(特别是在夜间急诊的场景),提升急诊场景下的报告生成速度,为救治急诊病人赢得时间。
在体检或门诊场景中,AI骨折产品也可以在那些无明显疼痛症状的病人CT中找到偶发病灶(incidental finding),通过对这些潜在病灶进一步分析,减少未来病情恶化的可能性。
雷锋网了解到,除了CT骨折产品,联影智能也正在积极推进其他多款胸部CT的AI产品(包括肺结节、肺炎、淋巴、食道癌、乳腺癌等)的注册申请。“我们相信,医疗影像AI将会逐渐从同一部位单个病种向多个病种演进,以医生全面诊断的视角来完善uAI全智能影像结构化报告,逐步构建成uAI智能影像科,更全面、系统地助力影像科医生。”
本周的医疗AI行业颇不平静,包含CT骨折AI软件在内,本周已经有三家公司的三款AI产品获得NMPA的批准。
对于这个行业现象,联影智能联席CEO沈定刚教授认为,这与医疗AI的头部公司在中国发展的时间轴是吻合的。AI头部公司大多在16-17年起步,18年开始有产品原型,19年启动临床试验和申请,20年获证。
沈定刚教授说到,在AI产品三类证的审批过程中,我们感觉药监局秉承着一种严谨和科学的态度。因为AI是新技术,药监局集合了学术界、医疗界、企业界的专家,对AI产品的技术核心、预期用途、临床价值进行了充分地调研,并发布了AI产品的审评指导原则规范医疗AI行业健康发展。
“在产品审评的过程中,药监局一方面非常严谨地考察产品的每一个细节,另一方面也和企业进行充分的交流,做出科学审批和判断。虽然第一批AI产品三类证的获批让业界有一种“期待许久”的感觉,但我们相信这样的一个科学严谨的审评流程也保障了这些AI产品上市后的安全性和有效性。”
医疗影像AI行业前途无限,也任重道远,拿证是必不可少的第一步。
目前,医疗AI行业也正处于一个战略转变的阶段——“下沉”与“拓展”是关键,真正下沉到产业中解决实际问题的AI公司会逐步显现出来。
今年年初,经NMPA审查,科亚医疗“冠脉血流储备分数计算软件产品”获批上市。这是我国首个应用人工智能技术的三类器械过审。随后,安德医智、Airdoc、数坤科技等企业的AI产品还相继获得医疗器械三类证审批。
沈教授说到,我们期待随着第一批AI产品的上市,AI产品不再给人以一种“不明觉厉”之感。今后会有越来越多的AI医疗产品在一个科学、严谨的审批流程中推向市场,赋能医疗健康。
相关文章
- 阳台储能开创者疆海科技完成数亿元 B 轮融资,押注 AI 时代的家庭能源中心
- 开源!鲸智百应升级,浩鲸科技重新定义企业AI原生
- 万兆AI惠商 联通美好未来 ——中国联通东莞市分公司5・17 电信日暨联通客户日活动圆满举行
- 中国联通在北京地区携手华为发布3000M宽带新产品,全光臻宽带矩阵为“双万兆AI提质行动”添砖加瓦
- 超显商城整合核心GLED显示技术,开启显示设备AI定制新模式
- 博大数据荣膺“全球AI生态基石大奖”,夯实融合算力基础设施服务商领先地位
- 全国人工智能发展大会 AI HANGZHOU 2026中国(杭州)国际人工智能展览会
- 酷开发布企业AI操作系统 开启硅基管理新时代
- 酷开AIOS:定义“企业AI操作系统”的野心与挑战
- 华为超千兆新品亮相山西!三频Wi-Fi 7+AI 焕新智慧家庭新生活
- 辽宁与华为联合发布超千兆三频Wi-Fi 7+AI 新品,共筑辽沈智慧家庭新生活
- 亿达科创亮相国际人工智能展再获AI大奖
- 花旗银行报告称,台积电在AI领域的主导地位不会受到英特尔威胁
- 华为云创想者大会主题论坛议程公布:释放Agentic AI新布局
- 与AI同行 3000M助力 共创智家新生活——中国联通品牌与产品辽宁宣传推广会 全面启动联通社区惠民行系列行动
- 以创新设计重塑 AI 路由未来,MOVA LINCO X1 Pro 荣膺红点奖
人工智能企业
更多>>人工智能硬件
更多>>人工智能产业
更多>>人工智能技术
更多>>- 高德发布鸿蒙首个生成式 UI 开源框架 AGenUI,告别传统 UI 开发模式
- 发布即适配| 天数智芯全力支持腾讯混元Hy3 preview 开源落地,共推国内大模型产业普惠
- Seedance 2.0面向企业公测,豆包大模型日均Token使用量突破120万亿
- 端到端OCR模型第一!百度千帆Qianfan-OCR正式发布
- 云知声Unisound U1-OCR大模型发布!首个工业级文档智能基础大模型,开启OCR 3.0时代
- 基石智算上线 MiniMax M2.5,超强编程与智能体工具调用能力
- 昇腾原生支持,科学多模态大模型Intern-S1-Pro正式发布并开源
- 百度千帆深度研究Agent登顶权威评测榜单DeepResearch Bench









