布局人工智能,富士胶片携其医疗AI产品REiLI出展进博会
2018-09-12 18:12:28AI云资讯1181
随着近年来人工智能的升温,医疗行业关于AI热度也与日俱增,仅2017年国内医疗人工智能行业对外公布的融资事件一共有27件。除了国内企业外,作为外资医疗企业代表之一的富士胶片也开始默默布局医疗人工智能。在今年11月即将开幕的中国国际进口博览会上,富士胶片宣布也将展出其医疗影像方面的人工智能技术REiLI。
![]() 2 |
富士胶片人工智能技术REiLI
富士胶片此次在医疗影像诊断AI方面的发力,可谓是踩准了发展趋势。在工信部发布的《促进新一代人工智能产业发展三年行动计划(2018-2020年)》中,就计划指出四方面主要任务之一是重点培育和发展医疗影像辅助诊断系统等智能化产品,推动智能产品在经济设计的集成应用。
富士胶片在过去的70多年时间里,一直在追求并发展更好的图像处理技术。其医疗图像技术已经从最早的X射线,延伸到内镜、超声等诸多领域,并在全球范围内被各类医疗结构所认可和使用。至今富士胶片已经提供了70多种医学成像识别技术,并且这些技术已经在世界各地临床治疗中应用。
![]() |
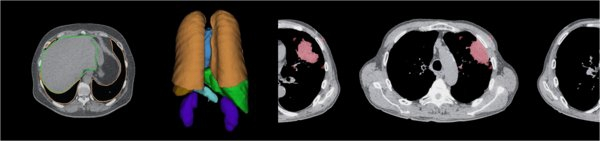
区域识别与CAD
富士胶片的人工智能技术REiLI,来源于最先进的人工智能技术与其传统优势的图像处理技术的结合。富士胶片计划凭借REiLI实现未来诊断流程。在成像检查后,REiLI将能识别器官的形状,并发现与正常组织结构不同的部分,针对检测到的特征,它会根据疾病和人体部位对患者进行分类,并向相应领域中最适合的放射科医师发出通知。放射科医师收到提醒后开始阅读研究报告,为检测到的特征做注释以便于识别。REiLI还能根据数据库列出患者潜在的疾病状况,以便放射科医师能够有效地进行诊断。
![]() 1 |
工作流程支持
此外富士胶片还提供了一个开放的平台,希望实现新的诊断流程。不同开发者的人工智能技术和REiLI可以共同在这个开放的平台上工作。来自不同领域的人工智能技术协同工作,可以为医疗服务的发展奉献自己的价值。
目前中国医疗资源紧缺的问题迫在眉睫,可以看到富士胶片的REiLI将有效提升图像诊断医生的诊断效率,同时也有助于提升医生诊断的水平,改善区域间医疗资源不平均的问题。目前公布的关于富士胶片REiLI的信息还十分有限,更多信息相信会在11月5日开幕的进博会上一展真容。想了解更多信息的业内人士,可在展会期间前往位于国家会展中心(上海)7.1馆的B5-09的富士胶片展台了解详情。
相关文章
- 智汇瓯江 智引未来:2025中国人工智能数字创新大会在温州成功举办
- 苹果人工智能服务器芯片Baltra或将用于执行人工智能推理任务
- 人工智能数据处理和质量测评中心全栈服务体系正式发布
- 中国开发区协会人工智能产业专业委员会在京成立
- 中国信通院政策与经济研究所李强治:我国人工智能治理迈入务实新阶段,场景与工具同步落地
- 中国信通院产业与规划研究所张桢:人工智能与城市全域数字化转型融合,正成为推动城市高质量发展的核心引擎
- 中国信通院产业与规划研究所徐志发:人工智能驱动数字消费深度变革,“十五五”时期将进入壮大发展的关键阶段
- 中国信通院云计算与大数据研究所栗蔚:智能算力重塑计算和网络架构,普惠化服务人工智能
- 中国信通院信息化与工业化融合研究所刘默:人工智能技术创新赋能制造业智能化迈入新阶段
- 中国信通院人工智能研究所魏凯:人工智能正从工具升级为伙伴,全面赋能高质量发展
- 中国心理科技园开园暨中国心理人工智能算力中心在京成立 心理产业迈入2.0时代:“心理AI产教融合生态”
- 蘑菇云荣膺教育强国论坛2025年度科技创新教育品牌 以创新产品赋能人工智能通识教育
- 英伟达在AI图形处理器上部署训练OpenAI的GPT-5.2,为人工智能产业提速
- 2025 全国人工智能应用场景创新挑战赛AI Agent全球专项赛线下半决赛新闻发布会在深圳召开
- 美图公司RoboNeo入选2025人工智能年度榜单
- 贵港移动公司共建人工智能联合实验室,推动产学研融合与产业数字化
人工智能企业
更多>>人工智能硬件
更多>>人工智能产业
更多>>人工智能技术
更多>>- 云知声Unisound U1-OCR大模型发布!首个工业级文档智能基础大模型,开启OCR 3.0时代
- 基石智算上线 MiniMax M2.5,超强编程与智能体工具调用能力
- 昇腾原生支持,科学多模态大模型Intern-S1-Pro正式发布并开源
- 百度千帆深度研究Agent登顶权威评测榜单DeepResearch Bench
- 在MoltBot/ClawdBot,火山方舟模型服务助力开发者畅享模型自由
- 教程 | OpenCode调用基石智算大模型,AI 编程效率翻倍
- 全国首个!上海上线规划资源AI大模型,商汤大装置让城市治理“更聪明”
- 昇思人工智能框架峰会 | 昇思MindSpore MoE模型性能优化方案,提升训练性能15%+












